First treatment to be recommended by NICE at the same time it is approved for advanced lymphoma in the UK
More than 700 people set to benefit from new treatment option for advanced lymphoma.

NICE has recommended glofitamab as a new treatment option for adults with relapsed or refractory diffuse large B cell lymphoma after 2 or more systemic treatments in final guidance published today (17 October 2023).
Today’s recommendation for its use in the NHS coincides with glofitamab receiving its licence from the Medicines and Healthcare Products Regulatory Agency (MHRA).
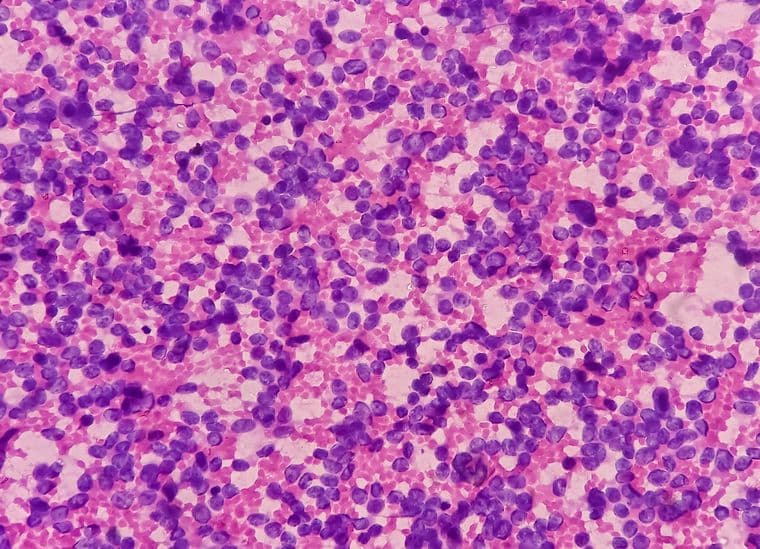
Lymphoma is a form of blood cancer that affects the immune system. It develops from a type of white blood cell, called a lymphocyte and is an aggressive form of cancer with symptoms that usually develop and progress quickly. In many cases it is refractory, which means it comes back after treatment.
More than 700 people could benefit from glofitamab (also called Columvi and made by Roche). It works by encouraging the healthy cells in the body that are responsible for the immune system to destroy the cancer cells.
Clinical trial evidence suggests that some people taking glofitamab reach complete remission with no signs or symptoms of cancer. It also suggests that people can live longer and have longer before their condition gets worse.
We are committed to getting the best care to patients fast while ensuring good value for the taxpayer.
Advanced B-cell lymphoma is an aggressive form of blood cancer and can progress quickly. The sooner people can access the best treatment for them, the better chance they have of living for longer and improving their quality of life.
This is why it is such good news that our independent committee has found that glofitamab is clinically and cost effective for treating people with this advanced form of cancer, and we welcome the news that NHSE will make this available to patients quickly.”